Transform your smile with Invisalign: Benefits and experts insights from Dr.Brian Orcutt
Video Transcript
Hi, I’m Dr. Brian Orcutt, and I would like to take this opportunity to talk to you about Invisalign. Now, everybody likes to talk about Invisalign. It’s one of my favorite things that I can do for my patients. I’ve been doing it since 2006, and it’s a lot of fun to help people transform their smiles. The other thing it does great is it transforms their bite as well. Having a good bite is really important. And one of our mottoes here at Orcutt Family Dentistry is ‘Straight teeth last longer’. And so, yes, braces and Invisalign can help straighten the teeth. We’ll go over the differences in just a bit. Having straight teeth and a good bite is really important for the longevity of the teeth.
So, let’s talk about Invisalign and all the benefits that come with Invisalign. One of the most important things about Invisalign is that it’s invisible. You know, you can’t really see it when it’s in your mouth. You can speak with it very easily. It’s a lot more aesthetically pleasing than having metal braces. Another thing that you can do with Invisalign is you can take it out when you eat. So, basically, you can eat anything you want to when you have Invisalign, whereas with braces, you are pretty limited as to what you can eat. You can’t eat sticky foods and things like that but with Invisalign, you can do anything you want.
Another really nice thing about Invisalign is you can keep your teeth so much cleaner than you can if you have metal braces. With Invisalign, you just take the aligners out, you brush, floss, use a water pick, you clean the inside of the trays. You are able to keep your teeth so much cleaner. And people come out of Invisalign not really having a lot of cavities, whereas people with metal braces, they tend to get a lot of cavities after having worn the braces because it’s so hard to keep your teeth clean.
One of the other nicer things about Invisalign is that we encourage all of our patients to whiten while they are in Invisalign. We actually give our patients free whitening gel when they are in Invisalign. All they need to do is to drop a little bit of the gel and the whitening tray inside the Invisalign tray, pop it on their teeth and wear that for about half an hour, and it does an amazing job at whitening your teeth.
Invisalign is one of my favorite ways to straighten people’s teeth. It just gently moves the teeth and a lot of times it works a lot faster than metal braces do. So, if you have any questions about Invisalign, I’ve been doing it since 2006. I love doing this for people. It’s one of my favorite things to do. Reach out, call me if you have any questions. Just call, give us a call. Alright, take care, have a good day!</div>
Join Dr. Brian Orcutt as he discusses everything you need to know about Invisalign! With over a decade of experience, Dr. Orcutt shares the benefits of Invisalign, from its nearly invisible appearance to its convenience and effectiveness in straightening teeth. Learn how Invisalign allows you to eat freely, maintain better oral hygiene, and even whiten your teeth while wearing it! Discover why Invisalign is a great alternative to traditional braces and how it can help improve both your smile and bite. Have questions?
Contact Orcutt Family Dentistry today!
Benefits of Invisalign aligners
Invisalign trays are removable, custom-fitted, and transparent. What does this mean for you? You’ll reap the benefits below.
- Comfortable experience
- Undisrupted oral hygiene
- Faster treatment
- Discreet treatment
- Fewer dental visits
- No dietary restrictions
Invisalign treatment near me
Ready to make a difference in your smile with Invisalign orthodontics? Call (916) 963-9986 to schedule an appointment with Orcutt Family Dentistry. Alternatively, you can book a convenient online appointment. We can’t wait to give you the straight smile you deserve.
Invisalign FAQs
What can I expect from Invisalign treatment?
After an initial consultation with Dr. Orcutt, we’ll take digital impressions of your smile using an intraoral scanner. Unlike goop-based impressions, digital impressions are comfortable, precise, and offer real-time results.
After impressions, our dentist uses sophisticated Invisalign technology to simulate your treatment plan, mapping out the step-by-step movements of your teeth. Next, we send the digital records to an Invisalign lab to craft your customized aligners.
When you receive your aligners, you must wear them 20-22 hours daily. Only remove them when eating or brushing your teeth. Every 7 days, transition to the next set of aligners in the sequence. This pattern continues until you achieve your optimal alignment.
Your treatment takes 9-18 months, but milder cases only need a few months. Once you complete your treatment, we’ll give you a retainer to maintain your teeth in their newly aligned positions.
How does Invisalign look with a gap?
Invisalign aligners are a great option if you have a gap between your teeth. The aligners are clear and custom-fitted, so they blend in with your teeth, making the gap less noticeable during treatment. Over time, Invisalign works to gradually close the space, giving you a more even smile. Dr. Orcutt can show you a digital preview of how your teeth will shift and what the final result will look like. Many patients with gaps choose Invisalign because it offers a subtle and effective way to improve their smile.
Real Patients, Real Results At Orcutt Family Dentistry

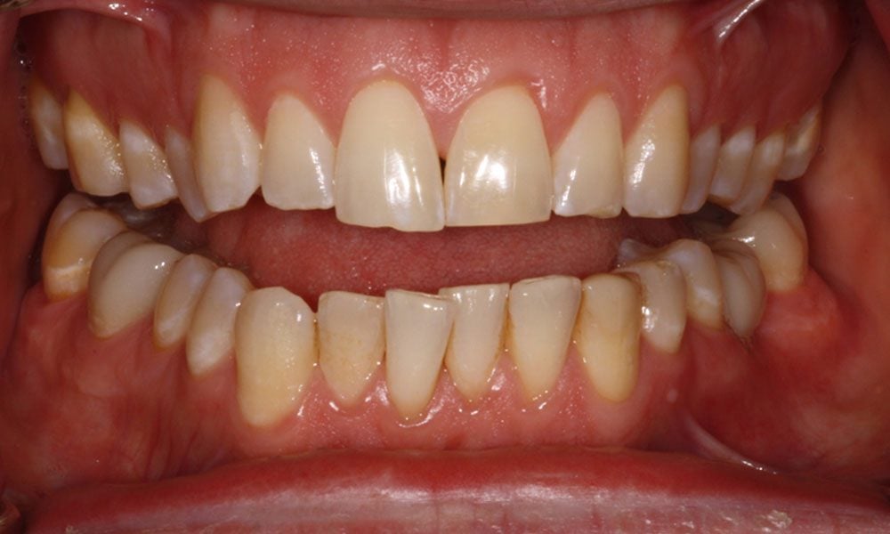
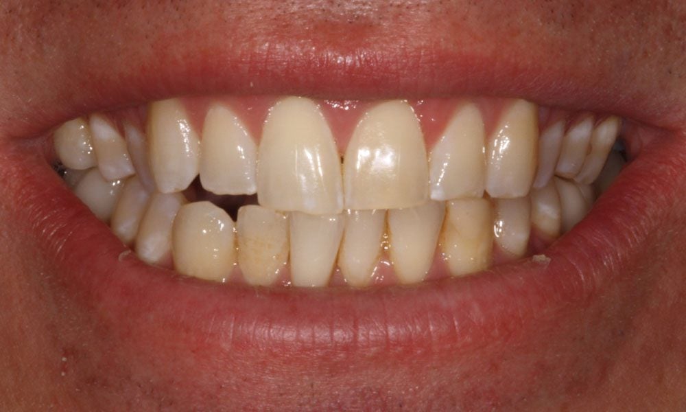
- This patient came to me asking if I could give her straight teeth using Invisalign
- She had previously been told she was not a candidate for Invisalign.
- She was in Invisalign aligners for just over 1 year.

- This patient wanted to straighten her teeth because they were slowly becoming more crooked.
- You can see she has a much wider smile now than before.
- We also whiten teeth for free during Invisalign treatment; you can see the difference it made in this case.

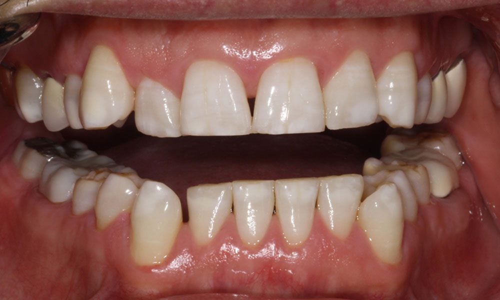
- This patient is an airline pilot and wanted to straighten his teeth because he had gum surgery due to his bad bite and didn’t want to go through that again. He understands that you are less likely to have gum recession and need gum surgery if you have a good bite.
- You can see his before and after smiles are different. His new smile is much broader, and his teeth are much better aligned.
Before VIVOS
After VIVOS Before Invisalign
After Invisalign
This adolescent was diagnosed with sleep apnea when he was 12 years old, and he and his parents wanted him to have straight teeth. We decided to treat the sleep apnea first using a VIVOS sleep apnea appliance. For 12 months, this patient wore the VIVOS sleep apnea appliance in the evenings and overnight. Daytime use of the appliance is not necessary. The VIVOS sleep apnea appliance is the only sleep apnea appliance approved by the FDA to reverse sleep apnea. After finishing with the sleep apnea appliance, he started Invisalign. We were able to finish Invisalign with plenty of time to spare before his senior portraits.

- This patient asked me what we could do regarding his crooked teeth. He was also having problems breaking his back teeth.
- We discussed how a bad bite will cause teeth to chip and fracture as well as cause gum disease. I explained how straight teeth just last longer for people. Their teeth break less often, they have less gum disease, and they spend less time (and money) in a dental chair than someone with crooked teeth.
- We used Invisalign to straighten his teeth and give him a better bite. It took us just under two years to finish his case.

- This patient is an airline pilot and wanted to straighten his teeth because he had gum surgery due to his bad bite and didn’t want to go through that again. He understands that you are less likely to have gum recession and need gum surgery if you have a good bite.
- You can see his before and after smiles are different. His new smile is much broader, and his teeth are much better aligned.


- This patient asked me to straighten his teeth because he didn’t like his teeth when he smiled.
- He asked if he was an Invisalign candidate, and I explained that pretty much everybody is an Invisalign candidate.
- I explained to him that Invisalign is much more gentle than braces, typically moves teeth faster, you can eat anything you want, you can brush and floss easier, and you can take them out for social occasions.
- He decided to use Invisalign over traditional metal braces, and within two years, he was done.


- This patient asked me what we could do regarding his crooked teeth. He was also having problems breaking his back teeth.
- We discussed how a bad bite will cause teeth to chip and fracture as well as cause gum disease. I explained how straight teeth just last longer for people. Their teeth break less often, they have less gum disease, and they spend less time (and money) in a dental chair than someone with crooked teeth.
- We used Invisalign to straighten his teeth and give him a better bite. It took us just under two years to finish his case.
Where to get Invisalign?
You can get Invisalign treatment from a certified Invisalign provider like Dr. Brian Orcutt at Orcutt Family Dentistry. Dr. Orcutt has the training and experience to create a customized Invisalign treatment plan that aligns with your specific dental goals. During your consultation, he will take digital scans of your teeth and map out each stage of your tooth movement. To get started with Invisalign, schedule a visit through www.orcuttfamilydentistry.com or call the office to book an appointment.
How much does Invisalign hurt?
When compared to traditional braces, Invisalign is a more comfortable option. However, this doesn’t mean you won’t experience some minor discomfort. After all, your teeth are shifting. Most discomfort will occur when you start a new set of aligners, during which time you will experience some minor discomfort as the new aligners exert pressure on your teeth. Discomfort should fade within a few days. Dr. Orcutt recommends wearing your aligners consistently and switching trays as directed to minimize discomfort. Over-the-counter pain relievers and cold compresses can also help manage any initial sensitivity.
Why do some Invisalign trays hurt more than others?
Some trays may feel more uncomfortable than others due to the amount and direction of tooth movement they’re designed to achieve. A particular set might be responsible for shifting more than one tooth or rotating a stubborn tooth into place, which can increase soreness. Dr. Orcutt monitors your progress at each stage to ensure your teeth are responding well.
Is Invisalign braces?
Invisalign is an alternative to braces, but it’s different from traditional metal braces. Invisalign softly moves your teeth into place using a series of clear, detachable plastic aligners rather than brackets and wires. Dr. Orcutt often recommends Invisalign to teens and adults who want a discreet and flexible orthodontic option. While both methods aim to straighten teeth, Invisalign offers greater convenience and aesthetic appeal for those who qualify.
Is Invisalign effective?
Yes, Invisalign is highly effective for treating many common orthodontic concerns, including crowding, spacing, overbites, underbites, and crossbites. When worn as prescribed, Invisalign can achieve results comparable to traditional braces. Dr. Orcutt uses advanced digital technology to plan and monitor each stage of the treatment, ensuring your aligners are working as intended. Most patients complete treatment within 12 to 18 months. Consistent wear and regular dental visits are key to Invisalign’s success.