Smile Gallery
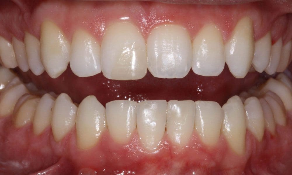
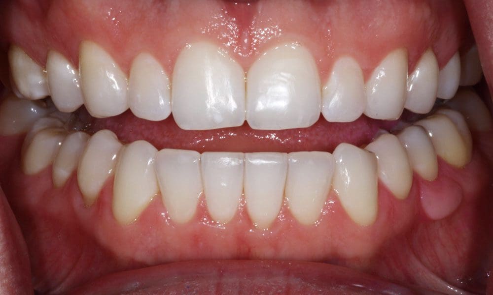
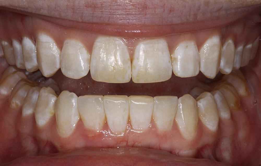
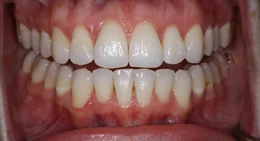
Before
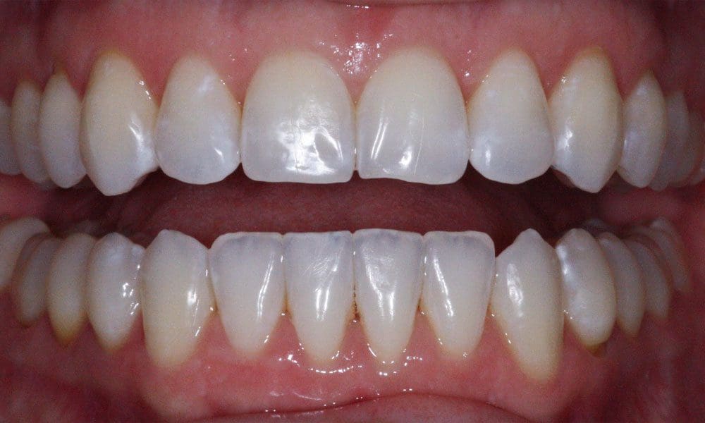
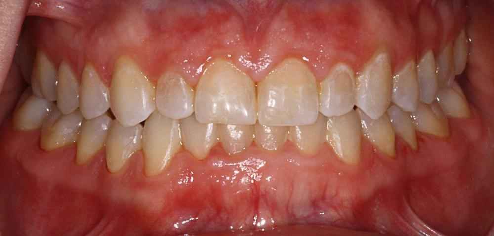
Mid Treatment
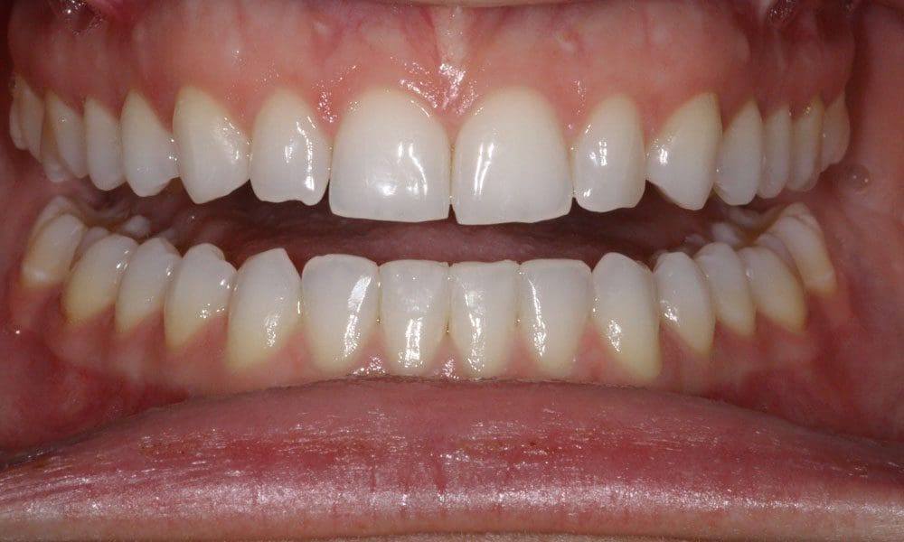
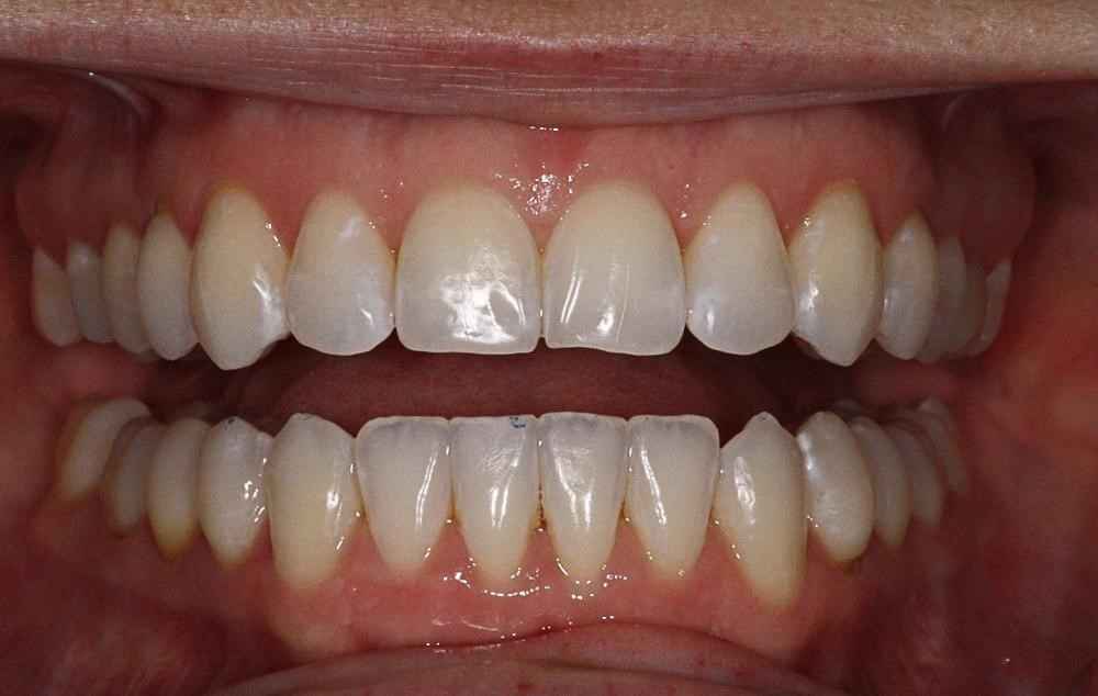
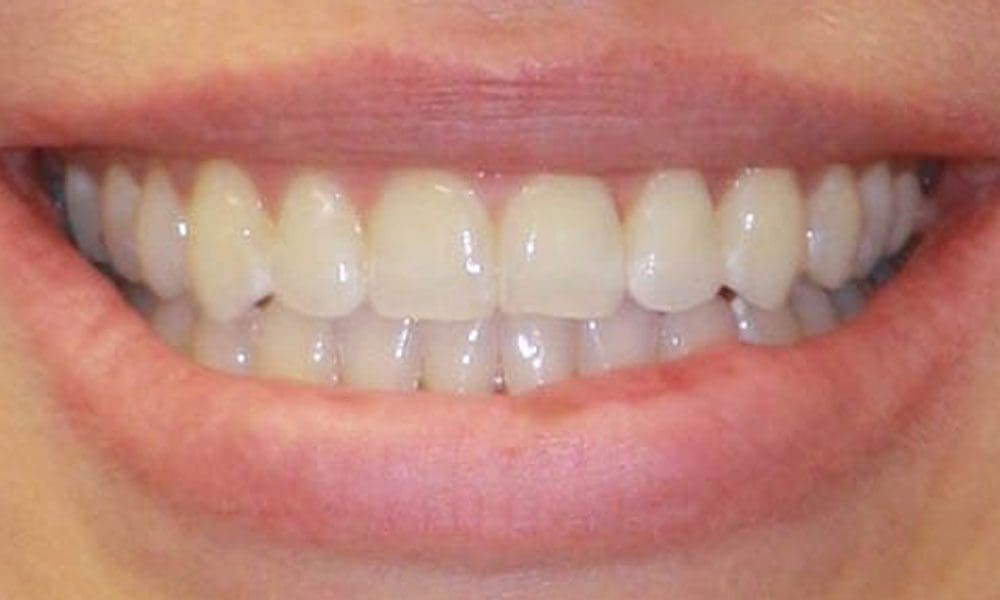
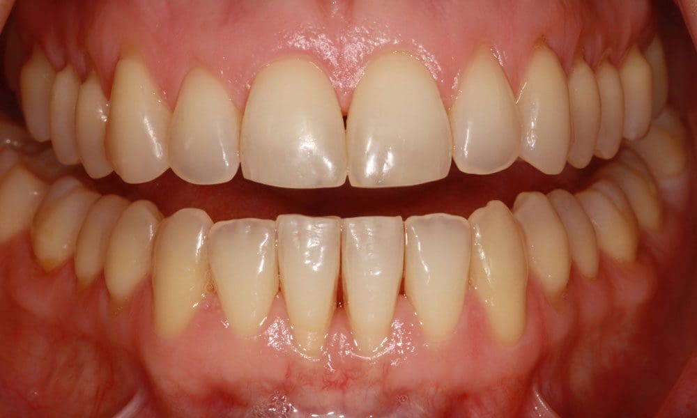
After
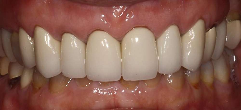
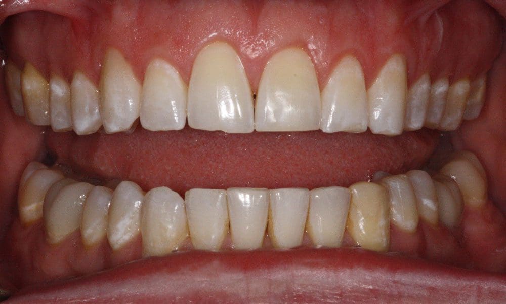
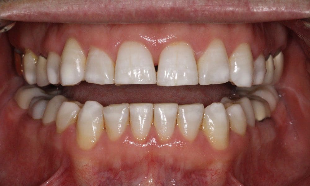
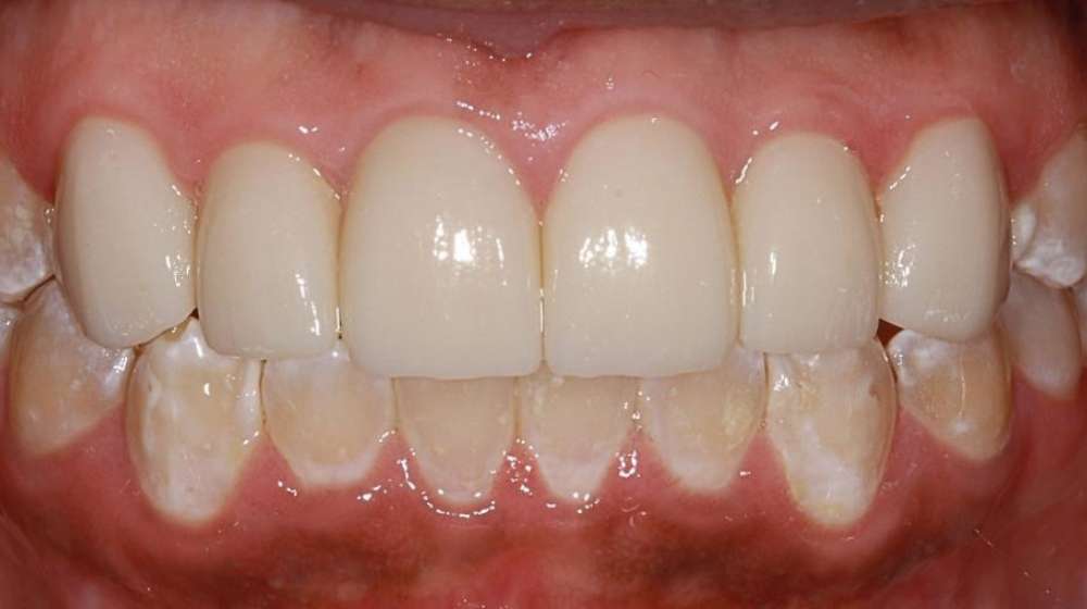
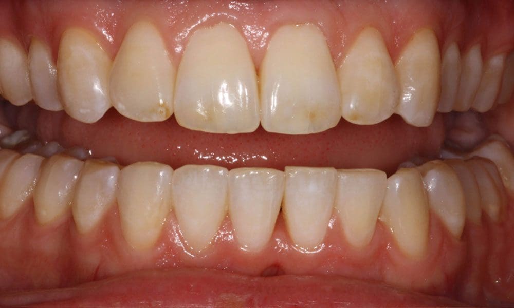
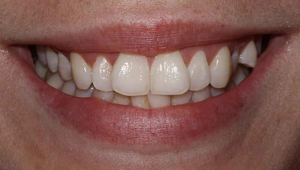
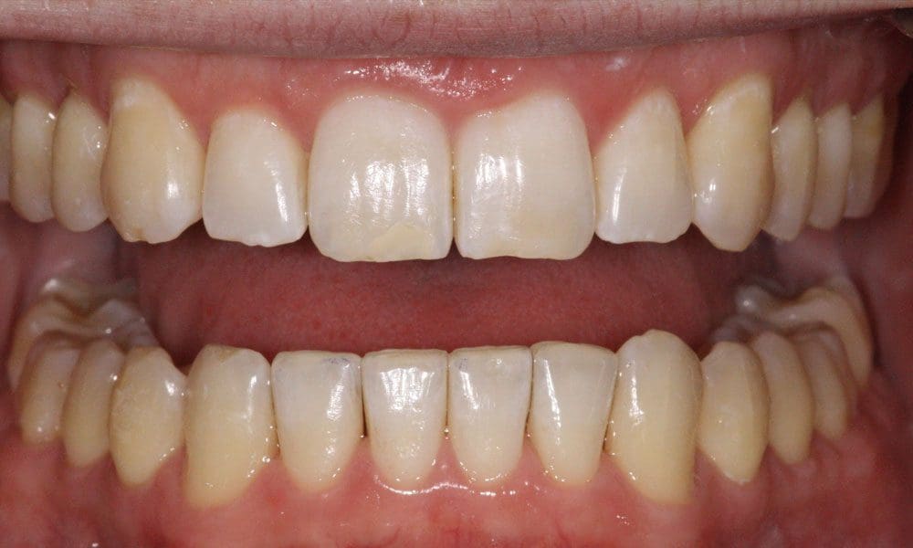
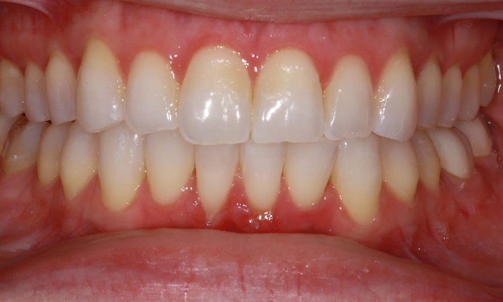
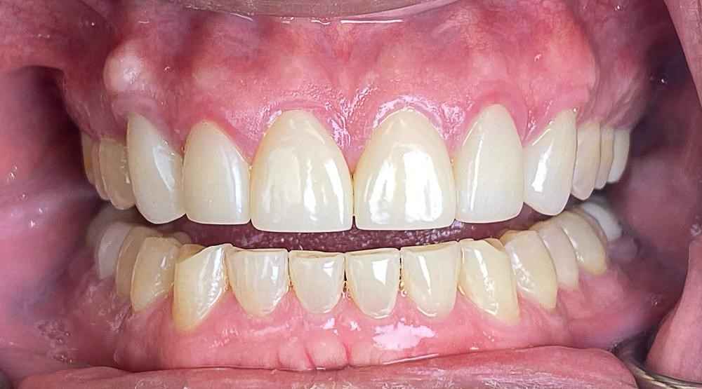
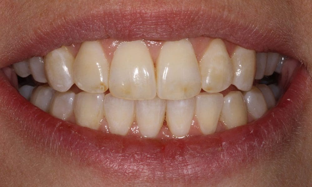
This patient came to me asking me to give her pretty teeth. I explained to her that we needed to fix her bite first, otherwise her veneers would not hold up to her bite pressures. She agreed and we started Invisalign right away. After fixing her bite with Invisalign, we created porcelain veneers for her. She chose the shade, she wanted natural looking veneers, not something you would see in Hollywood.
Cosmetic Dentistry


- This patient worked in sales and wanted a nicer smile.
- He had facial trauma from a sports injury when he was a teenager, and it turned his front teeth a darker color.
- We decided to do 6 veneers on his upper front teeth.


- This patient wanted a nicer smile.
- She was embarrassed about her stained yellow teeth and wanted a healthier-looking smile.


- This patient wanted a nicer smile.
- She was embarrassed about her stained yellow teeth and wanted a healthier-looking smile.

Crowns and Invisalign
- This patient came to my office looking to fix his bite and to have cosmetic dentistry done on his front teeth because of the way his teeth formed when he was a kid.
- He came to us with an extra space between his front teeth and between the upper and lower front teeth (called an open bite).
- Placing crowns on someone with an open bite would result in teeth that look extra long in the front, so we decided to move his teeth into a better position first with Invisalign.
- After Invisalign, I did 6 crowns on the upper front teeth. The crowns not only closed the gaps he had between his teeth but cosmetically gave him a really great smile.



- This patient asked me to give her a beautiful smile.
- She stated that everyone she knew asked her why she didn’t smile. She told me she didn’t smile because she didn’t like the looks of her teeth.
- We first aligned her teeth with Invisalign, and then we put crowns on her upper front teeth.
Now, we can’t get her to stop smiling.
Dentures and Implants
- This patient spent many years with bad teeth and struggled to eat certain foods.
- He decided he wanted a nice smile and chose to have full dentures.
- The lower denture is secured into place with 4 implants.

Laser Gummy Smile Reduction
- This patient asked me to help her with a couple of things. She wanted me to reduce her gummy smile and she also wanted her front teeth to be a normal size.
- She came into the office thinking she would ask for veneers, but I explained to her that a laser gummy smile reduction might be enough to make it aesthetically pleasing. I asked her to give the gummy smile reduction a chance, and once we were done, she was very happy with the results.
- The laser gummy smile reduction is much more conservative than veneers and costs much less too.
I performed gummy smile reduction using a dental laser. The laser is very precise and very minimal bleeding occurs. This is a much more conservative method than the old-school surgery with scalpels and results in almost no discomfort afterward. - Below you can see the before pictures and immediately afterwards pictures. All of this was accomplished within 20 minutes. The patient had practically no discomfort afterward.
This was accomplished only with a dental laser; no Botox or fillers were used.

Invisalign


- This patient asked me to straighten his teeth because he didn’t like his teeth when he smiled.
- He asked if he was an Invisalign candidate, and I explained that pretty much everybody is an Invisalign candidate.
- I explained to him that Invisalign is much more gentle than braces, typically moves teeth faster, you can eat anything you want, you can brush and floss easier, and you can take them out for social occasions.
- He decided to use Invisalign over traditional metal braces, and within two years, he was done.


- This patient was unhappy with how much her teeth were starting to crowd and understood that if it continued, she would likely need gum surgery and some teeth removed due to severe gum recession.
- She wanted to do Invisalign clear braces because she didn’t want people to know she was straightening her teeth.
- Her case was completed in less than two years. Now, her teeth are in much better alignment and are much less likely to need gum surgery, tooth extractions, or dental implants.


- This patient asked me what we could do regarding his crooked teeth. He was also having problems breaking his back teeth.
- We discussed how a bad bite will cause teeth to chip and fracture as well as cause gum disease. I explained how straight teeth just last longer for people. Their teeth break less often, they have less gum disease, and they spend less time (and money) in a dental chair than someone with crooked teeth.
- We used Invisalign to straighten his teeth and give him a better bite. It took us just under two years to finish his case.


- This patient asked me to straighten her teeth because of her severe crowding.
- She had consulted with a couple of orthodontists who told her they didn’t think they could help her without corrective jaw surgery.
- I explained to her that because of the jaw size issues, we could make her teeth much straighter than they were, but maybe not 100% straight, and she thought that was an excellent idea.
- She decided to do Invisalign at my office, and her case was finished in less than two years.
- She has fluorosis stains on her teeth that cannot be removed without veneers or crowns. But she whitened her teeth while she was in Invisalign with my office (we do it for free to patients who do Invisalign with us), and her teeth significantly changed how white they became.
- She was pleased with the results because she previously thought she had to have jaw surgery to get results like this.


- This patient came to my office worried about her crooked teeth and receding gums on her back teeth.
- I explained that teeth not aligned correctly will get recession because of the improper pressure they receive when they touch each other when functioning.
- She is a teacher and wanted to do Invisalign instead of metal braces.
- We were done aligning her teeth just after a year.
- We always provide free whitening gel to our patients who are in Invisalign because Invisalign aligners can also be used as whitening trays. You may notice in her photos that she whitened while in Invisalign, and the difference in the color of her teeth is dramatic.


- This patient came to my office hoping to close the gaps in her front teeth with braces.
- I gave her the pros and cons of metal braces versus Invisalign, and she decided that she wanted Invisalign because it would be faster, there would be less discomfort, she could eat and drink anything she wanted, it would be easier to brush and floss her teeth, and, most importantly, she was young and wanted to take them out when socializing.
- We used Invisalign, and we were finished moving her teeth within a year.


- This patient came to my office because he noticed he was starting to chip his front teeth and wanted to know how to prevent it from worsening.
- He thought he wanted veneers to cover up his chipped teeth, but I discussed the benefit of having a good bite and how that can minimize the risk of chipping and fracture of teeth. I recommended to him that we first align his teeth with Invisalign, and then he could decide what he wanted to do after we were done.
- He had a bad bite, and his teeth were not coming together correctly. Too much pressure was being put on the front teeth, which decreased their longevity, especially as he aged.
- We used Invisalign aligners to move his teeth into a healthy position, giving him a lovely smile.
- When we were done, he was pleased with his smile and decided he no longer wanted to do veneers.


- This patient came to my office because she wanted to use Invisalign to straighten her teeth, and she knew we had extensive experience as an Invisalign provider.
- She had braces when she was younger but got out of the habit of wearing her retainers, and like everyone who stops wearing retainers, her teeth shifted,
- We used Invisalign to straighten her teeth and achieved great results in about a year.


- This patient has been a patient of mine for many years. We have discussed many times how bad bites cause many different dental problems, including broken teeth, gum disease, gum recession, tooth loss, and cavities.
- She has a family history of the above and has seen what her mom has endured because of her crooked teeth.
- When she became an adult, she decided it was time to use Invisalign to straighten her teeth.
- In the before and after photos, you can see how much we had to move her teeth. Invisalign can move teeth faster and be just as accurate as metal braces. Invisalign is also more gentle and causes a lot less discomfort.


- This patient came to my office because he had broken and chipped his upper and lower front teeth.
- He had a crossbite in the front and bumped his teeth. Because they were crooked, they broke easier than if they had been straight.
- We used Invisalign to straighten his teeth, and now he has a great smile that will last him a long time.
- In these before and after photos, you can see how much lighter his teeth are because we offer free whitening for patients when they are in Invisalign.


- This patient is an airline pilot and wanted to straighten his teeth because he had gum surgery due to his bad bite and didn’t want to go through that again.
- He understands that you are less likely to have gum recession and need gum surgery if you have a good bite.
- You can see his before and after smiles are different. His new smile is much broader, and his teeth are much better aligned.

- This patient wanted to straighten her teeth because they were slowly becoming more crooked.
- You can see she has a much wider smile now than before.
- We also whiten teeth for free during Invisalign treatment; you can see the difference it made in this case.




- This patient came to me asking to straighten her teeth and wondered if she was a candidate for Invisalign.
- I explained to her that almost everybody is a candidate for Invisalign.
- She had very crowded teeth and was embarrassed when she spoke to people. She also had fluorosis on her teeth (white spots), which is not treatable without veneers or crowns. She decided to try Invisalign first to see how she would like her new smile and then decide if she wanted to move forward with veneers.
- We used Invisalign clear braces to straighten her crooked teeth, and within two years, she had a brand new smile and was so happy that she decided not to use veneers to cover up her white spots.


- This patient wanted to straighten her teeth so they would be healthy and last as long as possible because she understands that straight teeth simply last longer.
- She was in Invisalign aligners for approximately a year and now wears her Invisalign retainers at night time only.


- This patient came to my office because she wanted to straighten her teeth again.
- Her chief concern was that the tooth in the upper left side of her smile stuck out when she smiled, and her lower teeth were crowding rapidly.
- She had previously had metal braces when she was younger but didn’t wear her retainers like she was supposed to.
- She did not want metal braces again and asked for Invisalign clear aligners.
- She had many friends who already had Invisalign, so she wanted them too.
- Her case was completed within two years.


- This patient was a teenager when we started Invisalign for her.
- She did not want metal braces.
- It took her about a year and a half to finish the Invisalign, and now she wears her retainers only overnight.


- This patient knew he had a bad bite and was breaking his teeth, and he knew it would continue if he didn’t use Invisalign to straighten his teeth.
- He finished moving his teeth within 1.5 years.
- He is now wearing the Invisalign retainer at nighttime only.


- This patient presented to my office hoping to replace the dental work he had done while in the military.
- I first aligned his teeth with Invisalign because crowns and veneers can sometimes break and fall off if someone has a bad bite.
- Then, once we developed a good bite, he had cosmetic dentistry.

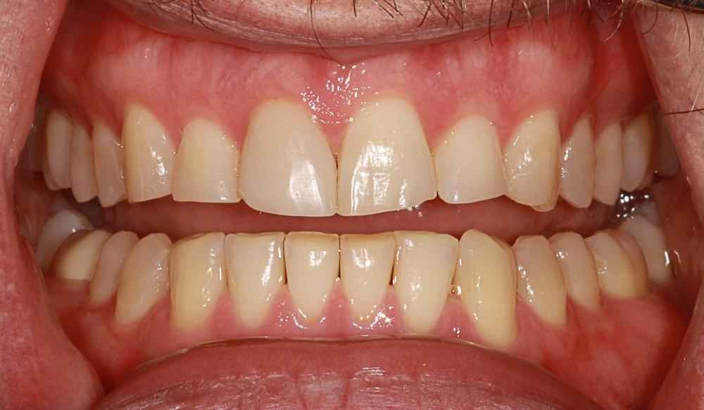
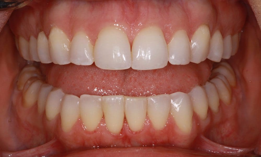
- This patient presented to my office because he wanted a great smile.
- An important foundation is critical to having a great smile, so in his case periodontal therapy was addressed first.
- After periodontal therapy we did Invisalign for him.
We also whitened his teeth using his Invisalign aligners as whitening trays. We always give whitening gel to our Invisalign patients.
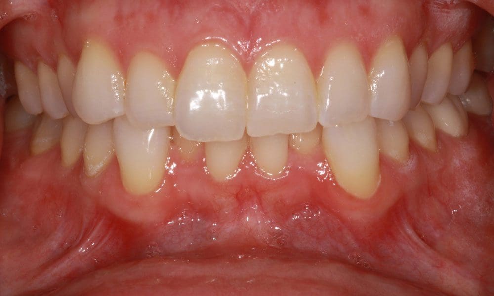
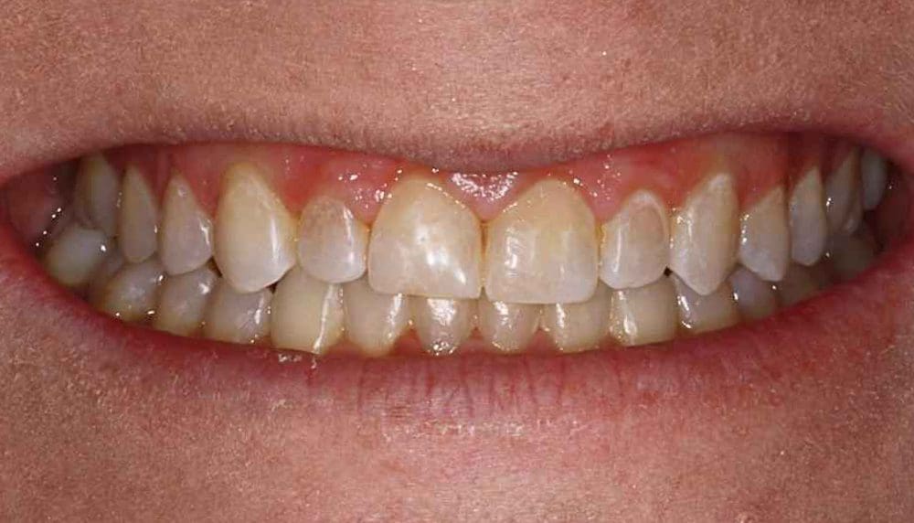
- This patient presented to my office because he wanted a great smile.
- An important foundation is critical to having a great smile, so in his case periodontal therapy was addressed first.
- After periodontal therapy we did Invisalign for him.
- We also whitened his teeth using his Invisalign aligners as whitening trays. We always give whitening gel to our Invisalign patients.

Veneers and Invisalign



- This patient is in sales and wanted a healthy, nice-looking smile that would last a long time.
- Because he had a bad bite I had to use Invisalign to move his teeth into a more healthy position and then did 6 veneers on his upper front teeth.
- It is of utmost importance to have a bite where the teeth are aligned properly and are properly balanced.
- Otherwise, veneers and crowns may not last as long as you like.
- You can see how the facial features changed when his teeth were positioned in a healthy, balanced manner. His smile is bigger, and he can now show more teeth when he smiles.
Veneers and Invisalign



- This patient originally asked me to close the gap between his two front teeth just a little bit with Invisalign.
- Once he realized how easy Invisalign was closing his gap, he asked me to change the plan and close it all the way.
- He then asked me to do veneers on his teeth to give him a great smile.
Now he smiles all the time.