Dental Veneers: A Versatile Cosmetic Treatment for a Beautiful Smile
Have you ever wondered why the smiles you see in beauty magazines and favorite TV shows appear flawless? The secret often lies in cosmetic dentistry. This branch of dentistry uses treatments like dental veneers to erase bothersome flaws for a stunning smile. Dental veneers from Orcutt Family Dentistry can transform your smile from ordinary to spectacular whether you have chipped, discolored, gapped, or otherwise flawed teeth.
Real Patients, Real Results At Orcutt Family Dentistry



- This patient is in sales and wanted a healthy, nice-looking smile that would last a long time.
- Because he had a bad bite I had to use Invisalign to move his teeth into a more healthy position and then did 6 veneers on his upper front teeth.
- It is of utmost importance to have a bite where the teeth are aligned properly and are properly balanced. Otherwise, veneers and crowns may not last as long as you like.
- You can see how the facial features changed when his teeth were positioned in a healthy, balanced manner. His smile is bigger, and he can now show more teeth when he smiles.
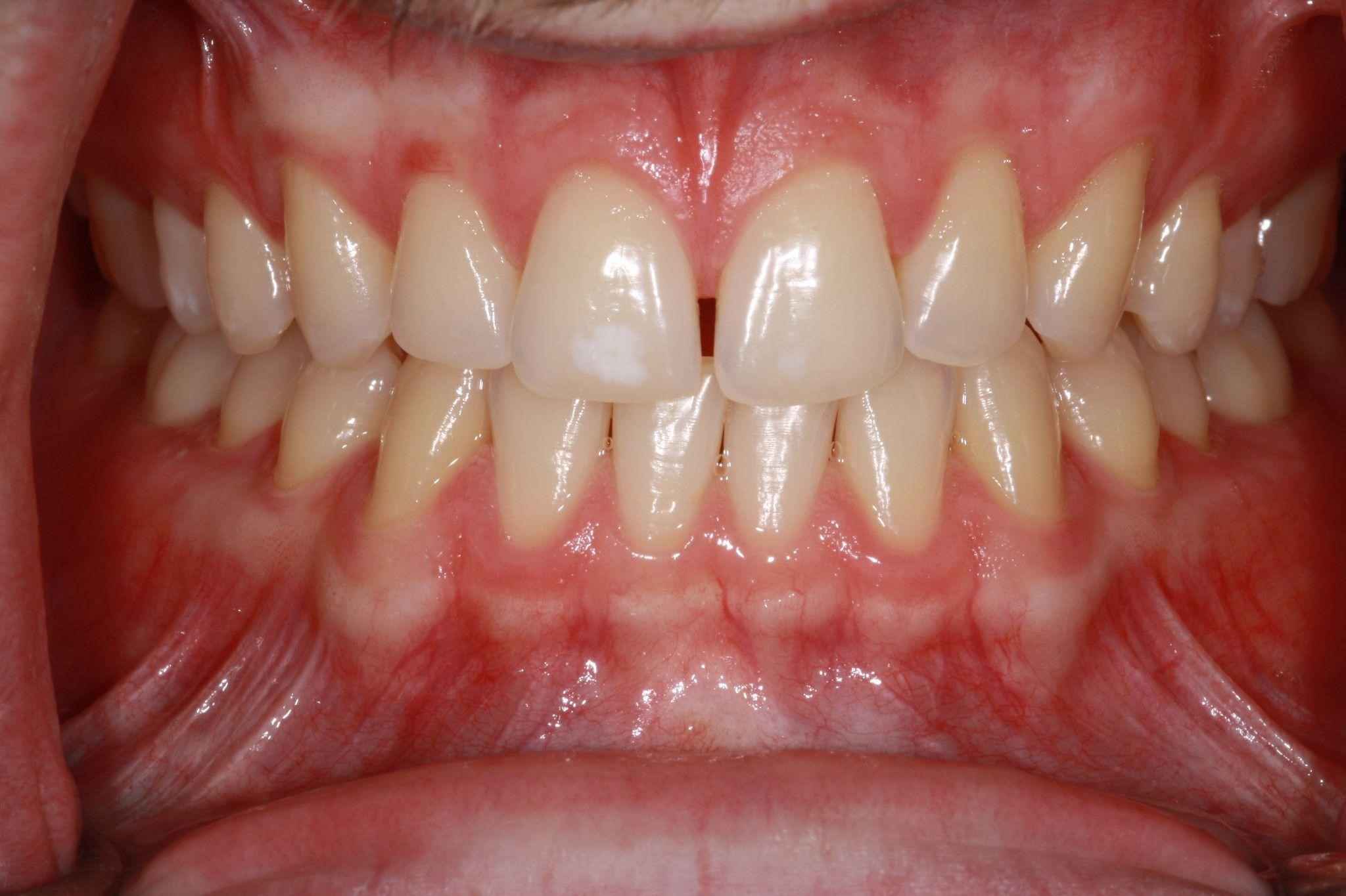
- This patient originally asked me to close the gap between his two front teeth just a little bit with Invisalign.
- Once he realized how easy Invisalign was closing his gap, he asked me to change the plan and close it all the way.
- He then asked me to do veneers on his teeth to give him a great smile.
- Now he smiles all the time.




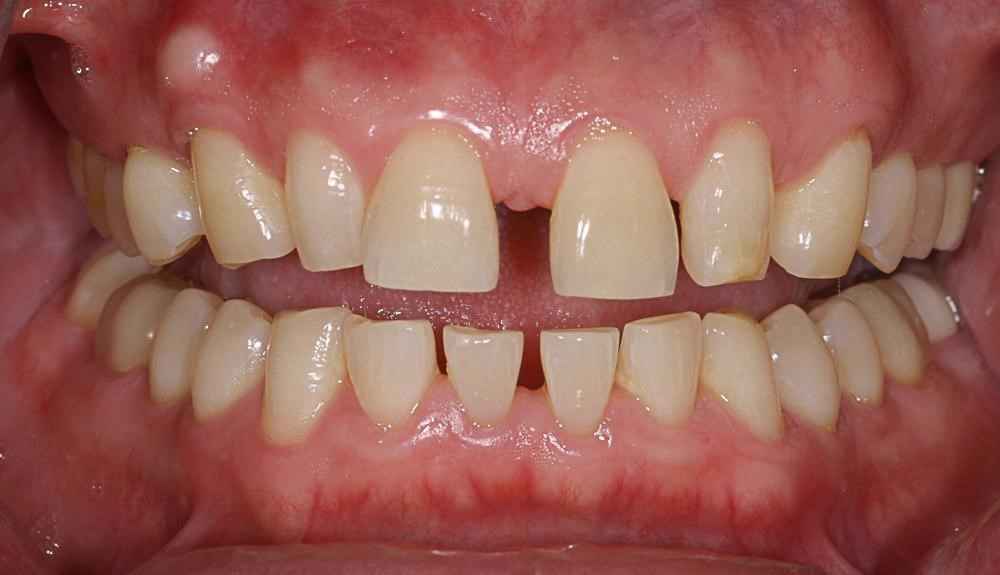
- This patient wanted to have a pretty smile that would cover up her worn-down and chipped teeth.
- She stated she wanted veneers to make her look younger and to cover up her dark teeth.
- She had permanent stains on the inside of her teeth from medication taken as a child. This type of stain cannot be whitened with teeth whitening gel, so veneers were the only option.
- This patient worked in sales and wanted a nicer smile.
- He had facial trauma from a sports injury when he was a teenager, and it turned his front teeth a darker color.
- We decided to do 6 veneers on his upper front teeth.


Correcting Bite with Invisalign and Enhancing Smile with Veneers
This patient came to me asking me to give her pretty teeth. I explained to her that we needed to fix her bite first, otherwise her veneers would not hold up to her bite pressures. She agreed and we started Invisalign right away. After fixing her bite with Invisalign, we created porcelain veneers for her. She chose the shade, she wanted natural looking veneers, not something you would see in Hollywood.
Video Transcript
Okay. Hi. When I first came to Dr. Orcutt’s office, I had no confidence in myself. I had really bad teeth from grinding and clenching, and I was embarrassed to smile. And I told him my long-term goals and my short-term goals, and he said, let’s focus on the foundation of what we need to do and we can get to the pretty cosmetic spot later. And of course, you want to hurry up and get your teeth done pretty fast. But I trusted him. I trusted the process, and he gave me a fantastic foundation. And then we finally got to the end result, which are these beautiful teeth. And I’m going to cry because Dr. Orcutt has so much for me.
How dental veneers are placed
Whether you need composite or porcelain veneers, the process starts with a consultation with Dr. Brian Orcutt. We’ll evaluate your smile and discuss your aspirations to craft a personalized treatment plan. We aim to give you a smile that will help you feel proud and confident to face the world.
Composite veneers are placed in one day and involve placing tooth-colored material on your front-facing teeth. We’ll carefully sculpt, cure, and polish the material for a realistic appearance. Composite veneers can last 4-5 years with proper maintenance.
Porcelain veneers are lab-made, requiring at least 2-3 dental appointments. After your consultation, the dentist prepares your teeth by removing only a very tiny bit of the enamel. This step is crucial to accommodate the thickness of the veneers. Next, the dentist takes digital scans of the prepped teeth to create your customized veneers.
When your veneers are ready, you’ll book another appointment for placement. After satisfactory adjustments, the dentist uses a strong dental adhesive to bond your veneers to your teeth.
Dental issues that veneers can help with
Your smile is important regardless of who you are or where you are. If you are insecure about your smile, this can affect confidence and everyday life. Good news! Dental veneers can change the aspects you don’t like about your teeth for a stunning smile.
- Chipped or worn-down teeth
- Gapped teeth
- Severely discolored teeth
- Slightly misaligned teeth
- Uneven or misshapen teeth
Dental veneers can be either composite or porcelain. Composite veneers involve bonding a tooth-colored material directly to your teeth. Although composite veneers may not be as long-lasting, they have incredible benefits for your smile. Porcelain veneers are the most popular. These veneers involve placing super-thin porcelain coverings on your teeth to camouflage your unsightly flaws. Porcelain veneers can last as many as 15-plus years, although they involve a bit of enamel alteration.
Renew your smile today with dental veneers!
Are you ready to put your best smile forward with dental veneers? You are only one step away from rejuvenating your smile’s beauty and function. Call (916) 963-9986 to schedule an appointment with Orcutt Family Dentistry of Fair Oaks, California.